 
            
        
         
        
     تهران
        
        تهران
        
     
                         
                         
                         
                         
                         
                         
                         
                         
                         
                         
                         
                         
                         
                         
                         
                    
                 
                     
                     
                     خدمات
                خدمات
             
                             
                                • حضور به موقع شما باعث نظم بیشتر و ارائه خدمات دقیق تر خواهد شد.
• در صورت تاخیر بیش از 15 دقیقه ممکن است نوبت شما به شخص دیگری واگذار شود.
 
                             
                                تماس تلفنی به صورت امن توسط وقتینو انجام میگیرد.
درصورت پاسخگو نبودن تماس این تماس یک بار به فاصله 3 دقیقه تکرار میگردد.
 
                             
                                چت آنلاین از طریق وقتینو انجام میگردد
حضور در وقتینو در زمان نوبت الزامی هست
جراح دندانپزشک
 
                     
                            
                         راه های ارتباطی
                        راه های ارتباطی
                     ادرس خیابان سهروردی شمالی خیابان خرمشهر مقابل خیابان شهید صابونچی پلاک 117طبقه 4واحد 12 
                                    
                                                                        
                                        نمایش روی نقشه
                                
                                
                                    ادرس خیابان سهروردی شمالی خیابان خرمشهر مقابل خیابان شهید صابونچی پلاک 117طبقه 4واحد 12 
                                    
                                                                        
                                        نمایش روی نقشه
                                    
                                    
                                
                                
                            
                                
                                
                            
                        
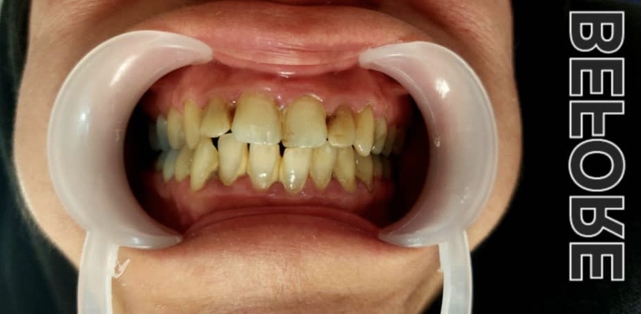
                         نمونه کار ها
                    نمونه کار ها
                 
                                                     
                                                     
                                                     
                                                     
                        
                     سوالات متداول
                سوالات متداول
            در حال حاضر هیچ خدماتی برای رزرو وجود ندارد.
 
                                
تاکنون نظری ثبت نشده است. شما اولین نظر را ثبت کنید.